横浜市,星川駅すぐの歯医者、歯科、山本歯科医院

症例

  • 症例写真
  • 症例写真

インプラント+骨造成1

主訴
右下大臼歯に痛みが出た
期間
約6か月
費用
69万円
治療内容
右下6番は歯根破折したため、抜歯。3カ月治癒を待ったが、上図のように骨は埋まらない。レントゲンでは上右のようになっている。これだとインプラントの長期安定性ないため、骨の凹みに骨造成してインプラント治療することになった。
治療に伴うリスク
骨造成にはインプラント埋入後4カ月以上の治療期間がかかる インプラントと骨が結合しなければ再度手術が必要になることがある
  • 症例写真
  • 症例写真

インプラント+骨造成2

主訴
右下大臼歯に痛みが出た
期間
約6か月
費用
69万円
治療内容
左図は骨補填剤入れて手術が終了した図 右図は4か月後にリエントリーしたところ骨がインプラント周囲にしっかりと造成し、インプラントの一部は造成骨に埋まっていた。
治療に伴うリスク
骨造成にはインプラント埋入後4カ月以上の治療期間がかかる インプラントと骨が結合しなければ再度手術が必要になることがある
  • 症例写真
  • 症例写真

インプラント+骨造成3

主訴
右下大臼歯に痛みが出た
期間
約6か月
費用
69万円
治療内容
レントゲンでの 左図 術前 右図 術後:骨が十分に造成していることがレントゲン上でも確認される
治療に伴うリスク
骨造成にはインプラント埋入後4カ月以上の治療期間がかかる インプラントと骨が結合しなければ再度手術が必要になることがある
  • 症例写真
  • 症例写真

インプラント+骨造成4

主訴
右下大臼歯に痛みが出た
期間
約6か月
費用
69万円
治療内容
抜歯から約7か月後右下6番にアバットメント(土台)を装着し、インプラント上部構造(ジルコニア)を装着した様子
治療に伴うリスク
骨造成にはインプラント埋入後4カ月以上の治療期間がかかる インプラントと骨が結合しなければ再度手術が必要になることがある

2025-02-13

  • 症例写真
  • 症例写真

インプラント+サイナスリフト

主訴
奥歯を喪失し噛めなくなった
期間
約10カ月
費用
240万円
治療内容
上顎臼歯部6本欠損に4本のインプラントを埋入計画 骨が薄いためインプラント埋入と同時にアパタイトを用い骨造成(サイナスリフト)して上顎に骨補填してインプラントを埋入し、咬合に関して良好な結果 食事等では全く困らなくなった
治療に伴うリスク
サイナスリフトだと骨の造成にかなり時間がかかる。また、骨と結合しない場合は再度手術が必要になることがある。

2025-02-13

  • 症例写真
  • 症例写真

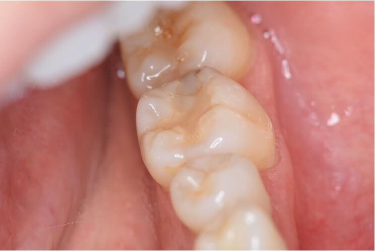
ジルコニアインレイ症例①

主訴
左下6番隣接部にカリエスが生じた
期間
2週間
費用
99,000円
治療内容
大臼歯隣接部は最も大きな荷重がかかるところだが、前医では脆弱なレジン充填で治療されていた。今回はレジンを接着していた面が破壊されカリエスが進行したため、検知液で虫歯を染め出し除去後咬合を注意深く診断しながら最終補綴物となるジルコニアインレイに必要な形態を付与し、接着性セメントで治療完了した。
治療に伴うリスク
ジルコニアの強度はエナメル質を上回るため長期に残存する可能性高いが、接着剤の経年変化で脱落あるいは強く噛めることで治療範囲外の歯質が欠けることがある。

2025-02-13

  • 症例写真
  • 症例写真

オベイトポンティックブリッジ症例①

主訴
前歯が歯根破折しぐらぐらになった
期間
5カ月
費用
495,000円
治療内容
「オベイトポンティックジルコニアブリッジ」歯根破折した前歯を抜歯 直ちに仮歯を装着し歯茎が固まるのを待機 歯肉の形態を決めて隣接すると同じように見えるジルコニアセラミックブリッジを作成 ポンティックの隙は無く鼓形空隙は歯肉で埋まり作り物の歯が入っているようには見えず、自分の元々の歯が蘇ったように装着できた。
治療に伴うリスク
歯肉の形態を整えるために治癒に必要な時間が必要 ブリッジなので適用となる材料はジルコニアに限定されるため治療費用がかかる。

2025-01-21

  • 症例写真
  • 症例写真

美容歯科の症例③

主訴
前歯の形態不良を整えたい
期間
8週間
費用
1,056,000円
治療内容
・ジルコニアセラミック
セラミック矯正をご希望されていた患者様に対し、整った歯並びを再現することができました。
治療に伴うリスク
咬合や歯ぎしりの程度によっては術後にセラミックが破折する可能性があります。

2025-01-21

  • 症例写真
  • 症例写真

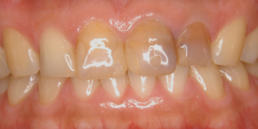
美容歯科の症例②

主訴
前歯の変色を綺麗に治したい
期間
9週間
費用
632,500円(税込)
治療内容
・トータルホワイトニング
・ジルコニアセラミック
トータルホワイトニングを行った後、明度の上がった歯に合わせて、失活して変色した3つの前歯をジルコニアで修復しました。歯ぎしりがあるのでセラミックでは破折リスク高いですが、ジルコニアでは経年的に全く問題を生じません。
治療に伴うリスク
ホワイトニングは象牙質やエナメル質の状態によっては白さに限界が出る場合があります。

2025-01-21

  • 症例写真
  • 症例写真

美容歯科の症例①

主訴
上の歯が欠けたり薄くなったのを修正したい
期間
4週間
費用
704,000円
治療内容
・e-max
今回は、患者様のご希望により、補綴範囲を4前歯に限定しました。
治療に伴うリスク
咬合や歯ぎしりの程度によっては術後にセラミックが破折する可能性があります。